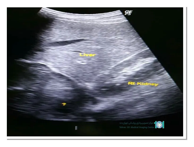
اکوژن در سونوگرافی چیست و چه مفهومی دارد؟

شاید از خود بپرسید دلیل اکوژن در سونوگرافی چیست؟ توده اکوژن در سونوگرافی پزشکی بیشترین سطح بازتاب را دارد، به عبارت دیگر، اکوژنیته بیشتری دارد. در تصاویر سونوگرافی، بافتهای اکوژن به رنگ سفید یا روشن نمایش داده میشوند.
در سونوگرافی پزشکی، تودههای اکوژن ممکن است نشانهای از وجود تغییرات غیرطبیعی در بافت باشند. به عنوان مثال، تودههای اکوژن در قلب جنین ممکن است نشانهای از اختلالات قلبی باشند، در پستان ممکن است نشانگر وجود تودههای خوش خیم یا بدخیم باشند و در رحم ممکن است نشانگر وجود فیبرومها یا تودههای دیگر باشند. اگر به بررسی دقیق اکوژنسیته در نتایج سونوگرافی نیاز دارید، میتوانید از خدمات پیشرفته سونوگرافی در تهران در بهترین مرکز معتبر تصویربرداری بهره ببرید.
اگر پزشک شما تودهای اکوژن را در هر قسمتی از بدن تشخیص داد، احتمالاً نیاز به بررسیهای دقیقتر برای تعیین نوع و خطرات احتمالی آن دارید.
اکوژن در سونوگرافی چیست؟
توده اکوژن به صورت یک ناحیه کوچک و روشن در سونوگرافی قلب جنین به نمایش درمیآید که در ۳ الی ۵ درصد از حاملگیهای طبیعی نرمال و قابل مشاهده است. این توده اوکژنی درواقع انعاسی از رسوب مواد معدنی یا ناحیه مینرالیزیشن است.
در برخی موارد ممکن است دلیل آن دخیره کلسیم در عضله قلب جنین باشد. این عارضه اغلب در خانمهای منطقه آسیا دیده میشود. چگونگی یافتن آن به نوع قرارگیری جنین بستگی دارد. اگر سن خانم باردار زیاد باشد احتمال اینکه توده اکوژن در قلب جنین تشکیل شود بالاتر است. این توده بیشتر اوقات در بطن چپ جنین دیده میشود.
بیشتر بخوانید : هزینه سونوگرافی واژینال چقدر است؟
آیا وجود توده اکوژن در قلب جنین نگران کننده است؟
وجود توده اکوژن در قلب جنین نگران کننده نیست زیرا اغلب نوزادانی که دارای ناحیه اکوژنیک هستند بدون هیچگونه مشکل و سالم به دنیا میآیند. در برخی موارد وجود این توده ممکن است باعث ایجاد نقص مادرزادی در حین زایمان و تغییرات کروموزومی شود.
گاها پیش میآید که دلیل ایجاد این توده یک ناهنجاری قلبی باشد. در صورتی که پزشک متخصص بعد از بررسی مشکوک به جهش ژنتیکی یا موتاسین شود برای شما آمنیوسنتز را تجویز میکند تا به صورت دقیق تر نسبت به این موضوع اطمینان حاصل کند. انجام این آزمایش نواقص بارداری را به طور دقیق نشان میدهد.
بعد از تشخیص توده اکوژنیک در قلب جنین چه مراحلی باید طی شود؟
بلافاصله بعد از تشخیص این توده پزشک انجام یک سنوگرافی کامل را تجویز میکند تا بررسی بیشتری نسبت به علائم موتاسیون کروموزومی انجام دهد. تعداد دفعات این سونو به قرارگیری جنین بستی دارد. اگر جنین به گونهای قرار گرفته باشد که تمام قسمتهای آن قابل دیدن نباشد یک هفته بعد نیز باید آن را تکرار کنید.
سپس، ممکن است پزشک انجام آمینیوسنتز را پیشنهاد بدهد. که به منظور این کار دستگاهی به درون ساک حاملگی برده میشود تا اندکی از مایع آن را جمعاوری و مورد بررسی قرار گیرد. به همین دلیل، در صورت وجود موتاسیون ژنتیک توسط آمنیوسنتز قابل تشخیص خواهد بود تا از بروز هرگونه مشکل در آینده جنین جلوگیری به عمل آید.
بیشتر بخوانید : آمادگی های قبل از مراجعه انجام سونوگرافی های دوران بارداری
در صورت عدم وجود اکوژن در قلب جنین چه تجویزی صورت میگیرد؟
اگر ناحیه اکوژنیک در قلب جنین نباشد پس دلیلی برای نگرانی نیز وجود ندارد و پزشک به روال طبیعی سونوگرافیهای بارداری را انجام میدهد. بعد از تولد جنین، تا ۲ سالگی تحت نظر پزشک قرار میگیرد تا شرایط ژنتیکی او تحت نظر باشد تا عارضه قلبی و تغییرات کروموزومی آن مرتبا تحت بررسی قرار بگیرد. این عمل به اطمینا خاطر بیشتر خودتان به منظور سلامت بچه کمک میکند.
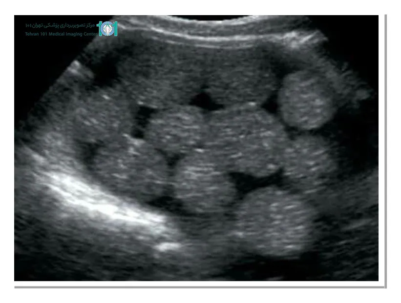
پولیپ رحمی چیست؟
پولیپ رحمی (Endometrial polyps) یکی از تودههای اکوژنی شناخته میشود که دلیل تشکیل آنها رشد بیش از حد سلولهای پوششی (اندومتر) رحم است که به دیواره آن چسبیدهاند. اندازه این تودهها متفاوت بوده و اغلب خوش خیم هستند.
البته گاها پیش میآید که بدخیم یا دچار تغییرات بدخیمی شوند. تودههای رحمی به واسطه یک پایه نسبتا پهن یا باریک به سطح درونی رحم میچسبند. پولیپهای رحمی هنگام باروری بعد از باروری و به طور کلی در تمام سنین قابل مشاهده است.
به نقل از وبسایت ویکی پدیا پولیپ گردن رحم یک پولیپ یا تومور خوشخیم سطح گردن رحم است. پولیپهای گردن رحم میتوانند باعث نامنظمی خونریزی قاعدگی شوند اما اغلب هیچ نشانهای نشان نمیدهد. درمان شامل حذف ساده پولیپ و پیش آگهی بهطور کلی خوب است. حدود ۱٪ از پولیپهای گردن رحم ممکن است به سرطان منجر شوند.

علائم پولیپ (توده اکوژنی) رحم
- خونریزی مداوم با شدت متغییر
- خونریزی در فاصله بین دو پریود
- نازایی
- خونریزی ناگهانی
- خونریزی حتی بعد از یائسگی
درمان پولیپ رحمی
در اغلب موارد پولیپهای رحمی کوچک به راحتی و خودبهخود از بین میروند و نیازی به درمان ندارند. در باقی موارد حتما باید تشخیص داده شود که نوع و اندازه اکوژنهای رحمی چقدر است تا درمان متناسب با آنها صورت گیرد.
در موارد حادتر پزشک ضایعات رحمی را به وسیله مخصوص به آرامی جدا میکند تا علائم آن برطرف شوند. برای تشخیص اکوژنهای رحمی میتوانید به مرکز تصویربرداری پزشکی تهران مراجعه کنید تا از تشخیص دقیق برخوردار و در صورت لزوم به مراحل درمان بپردازید.
اگر برای شما هم بررسی وضعیت جنین و داشتن آگاهی و اطمینان از سلامت جنین اهمیت دارد با مراجعه به مرکز تصویربرداری تهران ۱۰۱ این اطمینان خاطر را برای خود فراهم کنید.سونوگرافی در تهران در مرکز تصویربرداری پزشکی تهران۱۰۱ با به روزترین متد تصویربرداری تحت نظارت اساتید دانشگاه علوم پزشکی تهران در رشته های مرتبط با کادری مجرب و تجهیزات پیشرفته و جوابدهی آنلاین سریع و دقیق انجام می شود.



