نوبت دهی آنلاین ام آر ای هیپوفیز: سریع و آسان
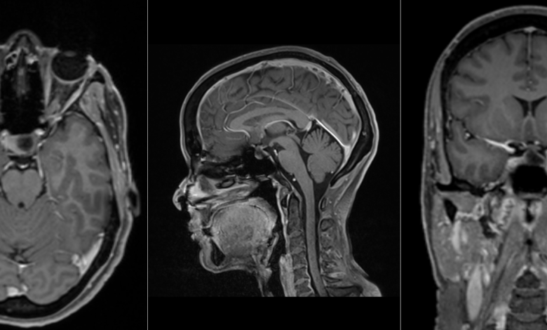
ام آر آی هیپوفیز یکی از اقدامات اقدامات ام آر آی سر و گردن به شمار می آید. ام آر آی غده هیپوفیز راهکار اصلی تشخیص تومور هیپوفیز است. غده هیپوفیز بافتی در قسمت زیرین مغز و اندازه ای در حدود یک نخود است. هیپوفیز (Hypophysis) با کارکردهای مهمی نظیر رشد در دوران کودکی و یا تولید مثل در ارتباط است.
چنانچه پزشک بخواهد درباره وجود تومور در ناحیه هیپوفیز اطمینان حاصل کنید می تواند از ام آر آی هیپوفیز به عنوان یک روش تشخیصی استفاده نماید. انجام ام آر آی مغز و نخاع و MRI غده هیپوفیز از جمله خدمات این مرکز تصویربرداری پزشکی تهران۱۰۱است. در این نوشتار از مرکز تصویربرداری پزشکی تهران۱۰۱، قصد داریم تا نکات مهم مربوط به MRI غده هیپوفیز را بررسی نماییم.
در مرکز تصویربرداری تهران ۱۰۱ بیماران و پزشکان محترم می توانند با استفاده ازسیستم ذخیره و ارسال تصاویر پزشکی تحت وب (PACS) در هرجای دنیا با استفاده از کدپذیرش خود، تصاویر و گزارشات مربوطه را مشاهده نمایند.
جواب دهی آنلاینMRI غده هیپوفیز | ام آر آی هیپوفیز چیست؟
ام آر آی هیپوفیز یک روش تصویربرداری پزشکی است که در آن از غده هیپوفیز و ناحیه های در مغز تصویربرداری می شود. همانطور که گفته شد، غده هیپوفیز در قسمت زیرین مغز و دارای اندازه ای در حدود یک نخود است.
هیپوفیز (Hypophysis – pituitary gland) هورمون های خاصی را به داخل جریان خون ترشح می کند تا برخی از فعالیت های ضروری بدن را کنترل نماید. از جمله فعالیت های مرتبط با عملکرد غده هیپوفیز می توان به تولید مثل، رشد در دوران کودکی و کارکرد غده تیروئید اشاره نمود.
استفاده از ام آر آی هیپوفیز برای تشخیص تومور هیپوفیز
شکی وجود ندارد که هیپوفیز یکی از مهمترین بخش های مغز محسوب می شود و بیماری های آن می تواند مشکلات زیادی را برای سلامتی ایجاد نماید. با استفاده از MRI غده هیپوفیز، پزشک می تواند تومور هیپوفیز را در صورت وجود، تشخیص دهد. به طور کلی برای تعیین اندازه و نوع اغلب تومورهای ماکروآدنوم و میکروآدنوم از ام آر آی Hypophysis استفاده می شود.
برخی از علایم و نشانه های تومور هیپوفیز چیست؟
برخی از تومور هیپوفیز در بیشتر موارد، زمانی که هنوز کوچک هستند (میکروآدنوما) یافت می شوند.
اما تومورهایی هم هستند که هورمونهای اضافی ایجاد نمی کنند (آدنوم های غیر عملکردی). این تومورها اغلب قبل از اینکه تشخیص داده شوند، بزرگ میشوند (ماکروادنوما).
برخی از تومورهای این ناحیه، تا زمانی که روی اعصاب مجاور، قسمت هایی از مغز و یا سایر قسمت های هیپوفیز فشار وارد کنند، علایمی ایجاد نمی کنند، و فقط ممکن است بدون نیاز به درمان به طور منظم تحت نظارت قرار بگیرند.

آمادگی های قبل از ام آر آی هیپوفیز غده چیست؟
- در صورت نیاز پذیرشگر اطلاعات لازم غذایی را به شما خواهد داد.
- حتما لباس راحت بپوشید
- اشیا فلزی و زیورآلات به همراه نداشته باشد
- انجام MRI غده هیپوفیز می تواند در حدود ۳۰ دقیقه طول بکشد
- این تصویربرداری بدون درد است
اندیکاسیون های انجام MRI هیپوفیز |
|---|
| عملکرد غیر طبیعی هیپوفیز |
| نقایص میدان بینایی |
| آمنوره، گالاکتوره، ناباروری |
| میکروآدنوما و ماکروآدنوما |
| نرخ رشد و ارتفاع غیر نرمال |
| سردرد غیرخاص |
| هایپوگلیسمی |
| چاقی |
MRI غده هیپوفیز یک روش کارامد برای تشخیص بیماری های مربوط به غده هیپوفیز و تومورهای ماکروآدنوم و میکروآدنوم است. ام آر آی غده هیپوفیز به عنوان زیرمجموعه از MRI سر و گردن با به روزترین متد تصویربرداری تحت نظارت اساتید دانشگاه علوم پزشکی تهران در رشته های مرتبط، در مرکز تصویربرداری پزشکی تهران۱۰۱ انجام می شود.
مرکز تصویربرداری تهران ۱۰۱
شرکت طب تصویر سامان پژوه ۱۰۱ تهران، در سال ۱۳۹۵ با مشارکت جمعی از اساتید و دانشگاهیان، از جمله جناب آقای مهندس محمدحسین وحیدی مدیر عامل و عضو هیت موسس و عضو هیت مدیره، در راستای خدمت به هموطنان در حوزه های تصویربرداری پزشکی، تجهیزات پزشکی و غیره … تاسیس گردید. از فعالیت های مهم این شرکت، می توان به راه اندازی مرکز تصویربرداری تهران ۱۰۱ اشاره نمود.
مرکز تصویربرداری تهران ۱۰۱ به عنوان مهمترین زیرمجموعه شرکت طب تصویر سامان پژوه ۱۰۱ تهران، فعالیت تخصصی خود را با استفاده از مدرنترین و پیشرفته ترین دستگاه های تصویربرداری پزشکی در سال ۱۳۹۷ آغاز کرد.
این مجموعه مجهز به یکی ازکارامدترین انواع دستگاه های رادیولوژی دیجیتال و نرم افزارهای پردازش تصویر است که علاوه بر انجام تمامی آزمون های ساده رایج رادیولوژی، قابلیت انجام آزمون های تخصصی نظیر هیستروسالپینگو گرافی، بررسی دستگاه گوارش (باریوم میل ،سوالو، ترانزیت) و بررسی سیستم ادراری (IVP,VCUG,..) رادیوگرافی یکپارچه از کل ستون فقراتTotal Spine و Alignment view را دارا می باشد.
۰۲۱۶۶۵۷۱۲۱۴،۰۲۱۶۶۵۷۴۲۶۲،۰۲۱۶۶۵۷۲۰۱۸،۰۲۱۶۶۵۷۵۵۱۸،۰۹۱۳۳۴۱۴۱۶۶
مجموعه تصویربرداری تهران ۱۰۱ همچنین با استفاده از زیر ساخت فناوری اطلاعات و سامانه پکس امکان دسترسی به تصاویر پزشکی را برای پزشکان محترم مقدور ساخته است.



