تصویربرداری MRU یا ام آر آی سیستم ادراری چیست؟ آشنایی با مراحل، کاربرد و مزایا
کاربرد اصلی تصویربرداری پزشکی به روش ام آر یو (MRU) یا ام آر آی تشخیص بالینی سیستم ادراری در بررسی عملکرد کلیه ها، انسداد احتمالی مسیر ادراری، تغییر آناتومی در اثر جراحی به ویژه در کودکان و بانوان باردار، ناهنجاری های مادرزادی، انسدادهای ناشی از سنگ، وجود تومورها و یا انتشار آن ها به اندام های است.
در مرکز تصویربرداری تهران ۱۰۱ بیماران و پزشکان محترم می توانند با استفاده ازسیستم ذخیره و ارسال تصاویر پزشکی تحت وب (PACS) در هرجای دنیا با استفاده از کدپذیرش خود، تصاویر و گزارشات مربوطه را مشاهده نمایند. در برخی موارد، پس از تصویربرداری MRU برای بررسی کاملتر، دکتر سی تی اسکن نیز میتواند با تفسیر تصاویر مکمل به تشخیص دقیقتر بیماریهای سیستم ادراری کمک کند.
جواب دهی آنلاینتصویربرداری MRU و ام آر آی با تزریق چگونه انجام می شود؟
در تصویربرداری MRU یا ام آر آی سیستم ادراری، مشاهده کلیه ها، حالب و مثانه با استفاده از داروی ادرار آور و ماده حاجب مناسب بدن بیمار انجام می شود.
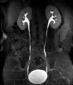
ام آر اوروگرافی MR Urography چیست؟
ام آر اوروگرافی MR Urography از روش های پیشرفته برای تصویربرداری از مسیر ادراری است. با استفاده از تصویربرداری MRU یا ام آر آی سیستم ادراری بررسی وسیع سیستم جمع آوری ادرار، پارانشیم کلیوی و ساختارهای اطراف فراهم می شود.
در مقایسه با روشی مثل CT SCAN اگرچه سی تی اسکن، به دلیل قدرت تفکیک فضایی بالا و افتراق بافتی بهتر و نمایش آناتومی بافت کلیه مزایایی دارد اما اوروگرافی توسط تشدید مغاطیسی نیز روشی حال رشد و توسعه می باشد.
از محدودیت های روش فعلی اوروگرافی MR می توان به موارد زیر اشاره نمود
- حساسیت پایین به سنگ کلیه
- زمان طولانی اسکن
- حساسیت به حرکت بیمار
- قدرت تفکیک فضایی کمتر نسبت به رادیولوژی و سی تی اسکن
بیشتر بخوانید : سی تی اسکن با کنتراست تزریقی چیست؟

تصویربرداری مجاری ادراری (MRU) شامل مجموعه ای از روش های ارزیابی بهینه و غیر تهاجمی برای بسیاری از ابنورمالی ها (ناهنجاری) مسیر ادراری است. این روش برای تشخیص بالینی انسداد احتمالی مسیر ادراری، هماچوریا و ناهنجاری های مادرزادی سیستم ادراری و تغییر آناتومی در اثر جراحی، به ویژه در کودکان و بانوان باردار و کسانی که نباید در معرض پرتو های یونیزان قرار بگیرند کاربردی است.

Urography چیست
اوروگرافی توموگرافی کامپیوتری (سی تی اوروگرافی یا سی تی اوروگرام) به انگلیسی computed tomography urography (CT urography or CT urogram)، یک اسکن توموگرافی کامپیوتری است که دستگاه ادراری را پس از تزریق رنگ کنتراست به ورید بررسی می کند.
بیشتر بخوانید : سی تی اسکن چیست؟
ام ار یو کلیه | ام ار ای از سیستم مجاری ادراری | تصویربرداری MRU
هدف از انجام ام ار یو کلیه و سیستم ادراری بررسی عملکرد کلیه ها و چگونگی ترشح ادرار و همچنین وجود تومورها و انسدادهای ناشی از سنگ و انتشار آن ها به قسمت های مجاور است.
پیلوگرام داخل وریدی یا اوروگرافی ترشحی چیست؟
کاربرد اصلی اوروگرافی ترشحی تست اشعه ایکس دستگاه ادراری، به اختصار (IVP) که پیلوگرام داخل وریدی و به انگلیسی internal varid pyelogram نامیده می شود تشخیص اختلالات دستگاه ادراری است.
تصویربرداری مجاری ادراری در مرکز تصویربرداری و MRI تهران ۱۰۱
اقدامات تشخیصی ام آر آی شکم و لگن از جمله ام آر یو با بهره مندی از کادری باتجربه، تجهیزات مدرن و همچنین جوابدهی آنلاین تحت نظارت اساتید دانشگاه علوم پزشکی تهران در مرکز تصویربرداری پزشکی تهران ۱۰۱ در کمترین زمان و با بالاترین دقت و سرعت انجام می شود.
به نقل از وبسایت ایده گستر قدرت سونوگرافی یکی از انواع تصویربرداری پزشکی است که خود دارای چندین نوع مختلف است. تفاوت آنها در نحوه انجام و قسمتی از بدن بیمار است که تحت بررسی قرار میگیرد. اما انواع سونوگرافی در یک چیز مشترک هستند، آن هم استفاده از دستگاه اولتراسوند برای تشخیص یا درمان است.
دستگاههای اولتراسوند همگی از امواج فراصوت برای تصویربرداری پزشکی استفاده میکنند. هنگام انجام سونوگرافی، توسط سونوگرافیست، ناحیه مورد نظر به ژل مخصوصی آغشته شده و سپس مبدل بر روی همان ناحیه قرار میگیرد تا بررسی آغاز شود.
آمادگی های قبل از مراجعه انجام MRU (MRI بررسی سیستم ادراری)
- از ۶ ساعت قبل در بالغین و از ۴ ساعت قبل در کودکان از خوردن مایعات و غذا خودداری شود
- دو شب قبل از تصویربرداری مایعات فراوان نوشیده شود.
- یک عدد سرمنرمال سالین نیز تجویز گردد.
نکات کلی در مورد آمادگی های قبل از مراجعه انجام MRI
ام آر آی از یک میدان مغناطیسی بسیار پرقدرت استفاده می کند، از آنجایی که اجسام فلزی در این میدان حرکت می کنند، هیچ جسم فلزی نباید به همراه بیمار وارد اتاق ام ار آی شود.
نکات مهم:
- لباسی که بیمار به تن دارد نباید هیچ قسمت فلزی داشته باشد. به دلیل آن که اغلب دکمه ها و گیره ها فلزی هستند برای اطمینان از وارد نشدن اجسام فلزی به اتاق ام آر آی، معمولا از بیمار خواسته می شود تا تمام لباس های خود را خارج کرده و تنها یک دست لباس طبی یک بار مصرفی که به وی داده می شود را بپوشد.
- در برخی از مواد آرایشی نیز مقادیری فلز وجود دارد به همین دلیل توصیه می شود بیماران در زمان انجام ام آر آی از موارد آرایشی استفاده نکند.
اجسام زیر نیاید به داخل اطاق ام آر آی وارد شوند:
- پول یا کارت اعتباری
- اجسام الکترونیک مانند تلفن همراه
- سمعک
- ساعت و جواهرات
- کلید، سکه، قلم
- گیره های مو
- کفش و یا کمریند
- لباس هایی که حاوی دکمه، گیره، قلاب، زیپ و یا نخ هایی باشند که در آنها فلز وجود داشته باشد.
همچنین در صورتی که در بدنتان دستگاه های پزشکی یا الکترونیکی وجود دارد باید به تکنولوژیست اطلاع دهید. این وسایل می توانند در آزمون شما اشکال ایجاد نموده و یا ایجاد خطر نمایند. برخی از دستگاه های پزشکی در ادامه معرفی می شوند. (لیست نهایی محدود به این موارد نیست)
- پیس میکر
- کاشت حلزون گوش
- دفیبریلاتور قلبی
- نورواستیمولاتور کلیپ یا گیره آنوریسم
- پیچ و پلاک یا دیگر اجسام فلزی که برای درمان شکستگی استخوان به کار رفته اند
- وسایل تزریق اتوماتیک دارو
- اجسام فلزی خارجی که قبلا در بدن وارد شده اند به ویژه در چشم
- تیر یا ترکش در بدن
- تاتو
- گیره فلزی دندان
- بعضی از انواع آی یو دی
- پچ های دارویی حاوی فلز
همچنین اگر باردار هستید باید آن را به تکنیسین ام آر آی اطلاع دهید.
مرکز تصویربرداری تهران ۱۰۱
شرکت طب تصویر سامان پژوه ۱۰۱ تهران، در سال ۱۳۹۵ با مشارکت جمعی از اساتید و دانشگاهیان، از جمله جناب آقای مهندس محمدحسین وحیدی مدیر عامل و عضو هیت موسس و عضو هیت مدیره، در راستای خدمت به هموطنان در حوزه های تصویربرداری پزشکی، تجهیزات پزشکی و غیره … تاسیس گردید. از فعالیت های مهم این شرکت، می توان به راه اندازی مرکز تصویربرداری تهران ۱۰۱ اشاره نمود.
مرکز تصویربرداری تهران ۱۰۱ به عنوان مهمترین زیرمجموعه شرکت طب تصویر سامان پژوه ۱۰۱ تهران، فعالیت تخصصی خود را با استفاده از مدرنترین و پیشرفته ترین دستگاه های تصویربرداری پزشکی در سال ۱۳۹۷ آغاز کرد.
این مجموعه مجهز به یکی ازکارامدترین انواع دستگاه های رادیولوژی دیجیتال و نرم افزارهای پردازش تصویر است که علاوه بر انجام تمامی آزمون های ساده رایج رادیولوژی، قابلیت انجام آزمون های تخصصی نظیر هیستروسالپینگو گرافی، بررسی دستگاه گوارش (باریوم میل ،سوالو، ترانزیت) و بررسی سیستم ادراری (IVP,VCUG,..) رادیوگرافی یکپارچه از کل ستون فقراتTotal Spine و Alignment view را دارا می باشد.
۰۲۱۶۶۵۷۱۲۱۴،۰۲۱۶۶۵۷۴۲۶۲،۰۲۱۶۶۵۷۲۰۱۸،۰۲۱۶۶۵۷۵۵۱۸،۰۹۱۳۳۴۱۴۱۶۶
مجموعه تصویربرداری تهران ۱۰۱ همچنین با استفاده از زیر ساخت فناوری اطلاعات و سامانه پکس امکان دسترسی به تصاویر پزشکی را برای پزشکان محترم مقدور ساخته است.



